近日,66岁的吴先生因头晕低血糖在当地医院就诊,却查不出病因。回家休养一周,他又多次出现晕厥、夜间呆滞、行为异常、意识不清……这究竟是怎么回事?随后,吴先生前往南方医科大学第三附属医院就诊。医院内分泌代谢科医生在经过多种检查后,终于发现吴先生胰腺体部大小约10毫米的占位性病变,疑似胰岛素瘤。经过手术切除,吴先生已经康复。
专家提醒,如果反复出现头晕乏力、心慌手抖等症状,进食后能缓解,应考虑低血糖发作,需及时到正规医院就诊。

头晕两月发现胰岛素瘤
吴先生近两个月来一直头晕、低血糖,可去附近医院又查不出来是什么原因。经人介绍,他来到南方医科大学第三附属医院就诊。接诊后,分泌代谢科医生通过患者的症状,高度怀疑吴先生患胰岛素瘤,但当地医院的CT检查结果并未发现胰岛素瘤。
医生为其多次测量血糖,发现吴先生存在严重的低血糖,最低时血糖1.97mmol/L,胰岛素水平升高,皮质醇正常值低,陆续通过各项检查逐一排除了药物性、自身免疫性、胰岛素拮抗激素缺乏性和非胰岛细胞肿瘤性低血糖。
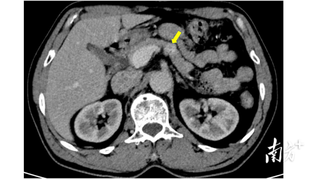
通过与影像科反复讨论,医生为吴先生制定详细的影像扫描参数,终于从胰腺动脉灌注CT平扫成像、腹部MR平扫+增强血管成像找到突破口,发现胰腺体部大小约10mm的占位性病变,疑似胰岛素瘤,垂体MR未见明显异常。
为更好地明确病情,内分泌代谢科团队组织MDT多学科会诊,考虑引起吴先生低血糖发作的元凶是胰岛素瘤。据悉,胰岛素瘤可分泌大量胰岛素导致患者出现严重低血糖,甚至危及生命,因此尽快手术是关键。
通过多次推演手术方案,医生为患者吴先生“量身定制”了诊疗方案。在多学科密切协作下,普通外科副主任刘晓珑成功为吴先生实施了“腹腔镜下保留脾脏的胰体尾切除术”,肿瘤被切除。术后随访复查血糖正常,胰岛素、皮质醇恢复正常水平。
胰岛素瘤或危及生命
“胰岛素瘤自主分泌过量的胰岛素,往往会导致患者出现饥饿感、肢体抖动、乏力、出冷汗、心跳加快等一系列低血糖症状,严重者会出现头晕、烦躁甚至昏迷等症状,长时间低血糖将不可逆地损害中枢神经功能,出现记忆力下降、精神行为异常等。”该院内分泌代谢科副主任医师李晨钟介绍,胰岛素瘤还会继发中枢性皮质功能减退症,容易诱发肾上腺危象,严重者危及生命。
据悉,引起低血糖的原因有很多,如饮食、运动、药物以及相关系统性疾病,胰岛细胞瘤引起的低血糖,发病率低,前期症状不明显,很多人当普通低血糖处理,容易延误治疗。这类患者除了低血糖相关症状,还多伴有体重增加,记忆力、反应力下降等。
“如果反复出现头晕乏力、心慌手抖等症状,进食后能缓解,应考虑低血糖发作,需及时到正规医院就诊。”李晨钟提醒,采取多学科联合诊治模式,可快速发现低血糖的原因,从而针对病因进行精准化治疗。
【记者】朱斌
【通讯员】游华玲