62岁的李叔近半年来发现自己的肚子越来越来大,开始以为是“发福”了便没在意。但近期又出现饭后腹胀不适的情况,他到当地医院检查,发现肚子里竟有10厘米大小的肿瘤。因肿瘤巨大,李叔来到南方医科大学第三附属医院求治。该院普通外科刘立新主任团队为其进行了腹膜后肿瘤切除手术,切下的肿瘤重量达4.5公斤。术后病理结果提示为高级别平滑肌肉瘤,是一种恶性肿瘤。

腹部肿物隐匿生长
李叔来自广西,近半年来发现自己的肚子有变大的迹象,考虑到自己平时食欲良好,李叔认为是长胖了,也没太在意。可是随后一段时间,他又发现饭后腹胀不适,于是去当地医院就诊,CT检查发现肚子里竟有巨大的肿物占位,大小超过10厘米。当地多家医院考虑肿瘤巨大,建议李叔转院治疗。
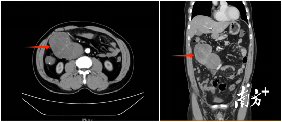
李叔来到南医三院普通外科求医。入院后医生们对李叔进行了详细的体查,发现腹腔肿物占位明显,站立时腹部明显隆起,而且肿物可在右腹部体表触及,质地较韧,无压痛,可推动,与周围无明显粘连。为进一步评估腹腔肿物的情况,李叔进行了全腹CT+增强检查,结果发现右侧中腹部大小约为166毫米×100毫米×92毫米肿物,与附近重要组织、器官及血管位置紧密相邻并且将其往周围推移。由于李叔并无明显腹部及全身不适症状,导致肿物隐匿性生长至如此巨大。
患者腹腔占位诊断明确,占位性质不明,普通外科主任刘立新组织全科进行病例讨论,排查各类型肿瘤的可能性。根据其病情及各项检验检查结果,医生主要考虑胃肠道间质瘤、软组织肉瘤、副神经节瘤可能,肿物巨大且有恶性进展可能,经与李叔及家属充分商讨后,拟行手术治疗。
摘除肿瘤重4.5公斤
鉴于李叔病情复杂,手术难度大、风险高,需充分考虑围术期各种意外事件发生的可能性并制定应急措施。术中要求手术医生精细且准确,避免术中大出血或损伤周围组织器官及其他脏器,还需考虑肿物切除术中引起的血流动力学改变,避免血压波动大,密切关注生命体征尤其血压的变化;术后还需关注患者的营养状况和肠道功能恢复情况,加速康复。
充分完善术前准备后,在刘立新主任、赵国湘主任医师的指导下,刘晓珑副主任、李宁磊主治医师手术组进行了腹膜后肿瘤切除术,手术历时4小时,顺利成功且完整地切除了腹膜后巨大肿物,肿物重量达4.5公斤。
术后李叔安返病房,在普通外科医护人员的精准治疗及精心护理下,病情平稳,术后第2天已正常下地活动,恢复良好。术后病理结果提示为高级别平滑肌肉瘤,是一种恶性肿瘤。
医生提醒,平时一定要注重自身的健康管理,重视每年的健康体检,对于肿瘤尽量做到早发现、早治疗。
【记者】朱斌
【通讯员】李宁磊 游华玲