家住清远的59岁秀姨(化名)近一年来明显感觉视力下降,以为是白内障了,后来因头痛去医院检查,才发现颅内两个肿瘤占位。近日,秀姨转至广州手术切除了脑膜瘤,好在术后一周左眼视力已有明显改善。
虽已年近六旬,向来身体强健的秀姨还是偶尔会和丈夫接些建筑活,补贴家用。据秀姨的儿子余明(化名)回忆,1年前,正在工地干活的秀姨突然觉得左眼看不清,当时以为是汗流进眼睛了,但使劲揉搓还是看不清。此后,秀姨视力持续变差,找了周边人和当地医生咨询,都认为是白内障。
尽管在眼科治疗了一段时间,秀姨的视力仍在不断变差。“近段时间,我们发现,有时就站在她身旁,但她径直走过都不会发现。”余明说,“后来,她因持续头痛去查了脑袋,才发现颅内病变。”
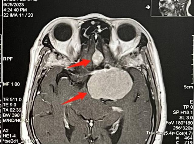
为寻求进一步诊疗,家人陪同秀姨来到广东三九脑科医院。该院神经外三科主任金鑫接诊后,查体发现患者左眼视力4.2、视野缺失。头颅核磁共振检查提示,其颅内左侧床突旁及左侧嗅沟各存在一占位性病变。

术前影像提示:左侧床突旁(下方)及左侧嗅沟(上方)占位性病变。 受访者供图
“患者脑袋里长了两个肿瘤,考虑是左侧床突旁的大肿瘤推压左侧视神经导致其左眼视力下降、视野变窄。位于左侧嗅沟较小的肿瘤虽还未引起症状,但任其生长,可导致嗅觉减退甚至丧失。”金鑫补充道。
经完善相关检查后,金鑫团队为秀姨一次手术切除了其位于左侧床突旁和左侧嗅沟的两个脑膜瘤,大的直径约6cm,小的直径约2cm。“一直以为是白内障,从没想过脑肿瘤也会导致视力下降。”回想近一年多次就医都没查明病因,秀姨无奈表示。好在术后一周,她的左眼视力问题已有明显改善。

金鑫开展手术中。 受访者供图
金鑫介绍,脑膜瘤作为一种良性肿瘤,好发于中老年女性,因生长位置不同可导致各种症状。如果肿瘤压迫视神经、视交叉,这部分患者就会出现视力下降、视野缺损等症状。临床上许多中老年患者常被误诊为老花眼、白内障。“如果出现视力突然下降,尤其伴有视野缺损,一定要警惕是否是脑肿瘤引起的视力障碍,及早就医。”
值得注意的是,脑肿瘤发生在不同的位置,可能引起对应的感觉或功能障碍。该院近期还接诊了一名肢体麻木无力,连碗筷都拿不稳的53岁女患者,一度误以为是中风,实际也是脑肿瘤占位,挤压到大脑运动功能区、脑干或小脑等,引起肢体麻木、无力的症状。一般来说,中风引起的肢体无力具有急性起病的特点,而肿瘤压迫神经所致的运动障碍进展相对缓慢,发现疑似症状要注意排查。
【记者】江玲
【通讯员】张小美