听说过吃泻药通便,也听说过用灌肠通便,还听说过用手抠大便,可你是否未曾听说过用圆珠笔抠大便,最终导致肛门“吃”下整支笔却“吐”不出来的情况?近日,南方医科大学第三附属医院就接诊了一位因便秘将圆珠笔塞入肛门通便,导致笔滑入肛肠的患者,最终经过肛门镜下直肠内异物取出术,才将长10厘米的笔取出。
便秘老人用笔“疏通”被吞
89岁的孔大爷,常年饱受便秘折磨,各种通便方法轮番使用,有时甚至会用手抠大便来暂缓痛苦。最近一次便秘,孔大爷用尽各种办法均不奏效,他灵机一动,打算用工具解决,他想到了比较长的圆珠笔,不过他没想到整支笔竟被“菊花”给吞了进去,怎么也取不出来了。情急之下,家里人立即呼叫120将孔大爷送到南医三院诊科就诊。

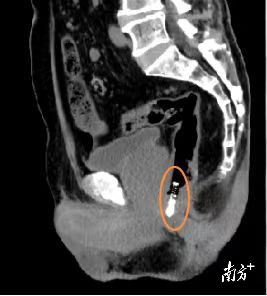
急诊医生了解情况后,为孔大爷安排全腹CT检查,发现直肠-肛内异物存留,立即请普通外科医生急会诊。普通外科医生周昆仔细询问患者病史、认真查体,在急诊科医护团队协作下,为孔大爷取胸膝位,为其行肛门指诊,发现进指约3cm处可触及笔尖,请示上级医生后,决定为孔大爷行肛门镜下直肠内异物取出术。很快,医生用一把弯钳完整取出异物,长约10cm、直径1cm的塑料材质圆珠笔。

看着圆珠笔被医生如此“轻松”地完整取出,孔大爷及家人佩服不已,频频致谢:“医生,你真是太厉害了,我们还以为要做手术才能取出来呢,没想到你这么心灵手巧。”周医生叮嘱孔大爷好好休息,严密观察有无肛门出血及腹痛等不适。
日常预防便秘有方法
据普通外科主任刘立新介绍,便秘的常见症状是排便次数明显减少,每周排便次数少于3次,粪质干硬,常伴有排便困难感。便秘可分为继发性便秘和原发性便秘,继发性便秘是指继发于器质性疾病的便秘。出现便秘者应及时去医院就诊,在医生的指导下完善相关检查,排除器质性疾病导致的便秘。
日常预防便秘的方法有:养成良好的生活习惯,规律作息,心平气和;进食时细嚼慢咽,食物不可过于精细,增加富含纤维素的食物,适量补充粗粮、水果及蔬菜,多饮水;忌饮浓茶、酒类、咖啡类饮料,忌食辛辣刺激性食物;适当活动,促进胃肠蠕动;养成及时排便、规律排便的好习惯,减少大便在肠道内存留的时间,减少肠道对大便内水分的过度吸收;腹部按摩,从右到左“回”字形按摩,力度适中,每次按摩10分钟。
出现便秘千万别塞异物
如果出现便秘,可以适当使用缓泻药,如乳果糖、石蜡油等,如以上方法不奏效,可使用开塞露或甘油灌肠剂。如出现粪便嵌顿,建议医院就诊处理,如没有条件及时就诊,可尝试用专用抠便器通过“抠大便”的方式将坚硬的大便抠出来。
如果实在没有抠便器不得不用手抠大便时,建议戴手套并使用润滑油,而且手法一定要轻柔,避免损伤肛门或直肠粘膜,造成出血、感染、脓肿等情况。
刘立新提醒,千万不要随意往肛门内塞东西,也不要试图用其他异物来抠大便,因为肛门“易进难出”,异物进入直肠后“有去无回”。
大家熟知的“直肠”其实并不是直的,肠道是有2个弯曲和3个侧曲,若是肛门被塞进异物,那么肛门会开始急速收缩,异物也会随之往里挤压,极有可能导致异物到达直肠壶腹部——而这个部位是“易进难出”的,导致异物滞留。
而异物一旦滞留在肠道内,卡压肠壁的时间延长,直肠会因压迫而充血水肿。由于异物的材质、形态不同,它在肠道中移动时很可能会划破肠道,造成肠穿孔、腹膜炎或中毒性休克,引起肠梗阻、出血、穿孔等严重并发症。
因此,如果出现便秘切记不要将异物塞入直肠,一旦无法取出,都可能带来致命性后果。
孔大爷这次很幸运,事件发生后半小时家属就送他来医院了,处理很及时,而且也没发生肠道穿孔。
【记者】朱斌
【通讯员】谢凤姣 游华玲