学业紧张、压力大,总是头晕、头痛,高中女学生小丽(化名)在医院一查发现高血压,收缩压已超过160mmHg!经全面检查分析,近日,中山大学孙逸仙纪念医院心血管内科王景峰教授团队为其进行支架植入介入治疗,“不开刀”解决主动脉缩窄,3天后小丽血压降至正常出院。
血压居高不下反复头痛
据家长描述,小丽自升上高中后课业逐渐加重,愈发紧张,总是说头痛、头晕,带她到医院就诊,诊断为高血压。年纪轻轻怎么就患上常见的老年病了?家长陪着小丽多次求医,但一年多的时间里,小丽依然无法很好地控制血压,眼看着即将升入高三,头晕、头痛的毛病对小丽造成了严重的困扰。
几经打听后,小丽在父母的陪同下慕名来到中山大学孙逸仙纪念医院心血管内科王景峰教授门诊就医。经过检查,接诊团队发现小丽右上肢血压165/77mmHg,右下肢血压100/62mmHg,下肢血压明显降低。腹部CT血管造影术(CTA)显示,腹壁动脉侧枝形成循环,这意味着问题很可能出在主动脉上。
放射科和心脏彩超室专家根据进一步的主动脉MRA、心脏彩超等影像学检查判断,小丽存在主动脉缩窄(导管后型)。
优选支架植入畅通血管
王景峰教授介绍,主动脉缩窄是一种胸降主动脉的局限性狭窄,是较为常见的先天性心脏病,占所有先天性心脏病的7%-14%,可单独存在,也可能合并其他心脏畸形。导管后型主动脉缩窄是其常见类型。
目前主动脉缩窄主要采用手术治疗,包括外科手术治疗和近年逐渐开展的微创介入治疗,目的是彻底解除主动脉缩窄,重建畅通的主动脉血流通道。外科手术包括缩窄部位切除吻合、主动脉缩窄成形术以及旁路移植术。然而,长期随访显示,接近11%的患者可能会因为再狭窄而需要再次干预。外科手术创伤较大,术后还可能存在动脉瘤、假性动脉瘤和夹层等并发症风险。
主动脉缩窄微创介入手术的开展,为患者提供更微创、更安全的治疗选择。目前,微创介入手术有单纯球囊扩张血管成形术和支架植入术两种方式。球囊扩张复发率约为27%,还存在血管壁损伤、后期动脉瘤形成风险。相形之下,支架强度高,能提供足够的支撑力,可以有效抵抗缩窄段的弹性回缩,防止和治疗动脉瘤、夹层等并发症,降低术后再狭窄发生率,是主动脉基本或完全发育成熟患者的首选策略。
经团队评估,已经年满16岁的小丽身高、体重与同龄人相仿,具备进行支架植入介入治疗的条件。在王景峰教授主持的多学科会诊(MDT)上,心血管内科、心血管外科、放射科、麻醉科等专家一致建议首选微创支架植入术策略。经与家属充分沟通并获得家属同意后,医院设备科马不停蹄寻找术中所需的特殊类型支架,顺利完成术前准备。

多学科会诊(MDT)现场。
微创解决复杂大血管病
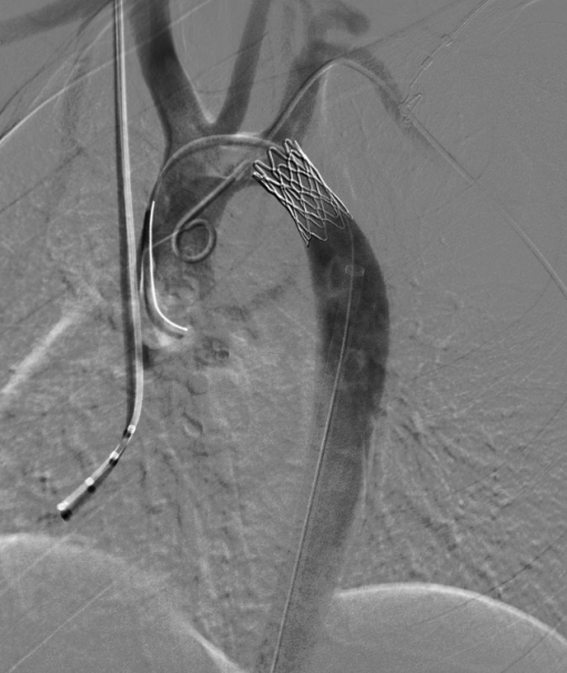
按照治疗计划,王景峰教授、聂如琼教授、林永青副教授等手术团队主要成员反复讨论、确定手术具体细节,顺利地为小丽进行了手术。术中造影证实小丽降主动脉起始段局部狭窄,仅剩余约7mm的直径,狭窄上下压力差值达到了53mmHg。术中准确定位植入一枚14×28mm的覆膜支架。术后复查狭窄上下压力差值下降到3mmHg,小丽原本没有搏动的下肢动脉重新跳动了起来。

术中植入一枚覆膜支架。
3天后小丽测量上肢和下肢血压都在123/81mmHg左右,不需要再服用降血压药物控制血压,康复出院和家人团聚。
专家指出,主动脉缩窄是继发性高血压的病因之一,多见于儿童及青少年,长期持续且不断升高的血压可导致高血压性心脏病、心力衰竭、脑出血等严重心脑血管意外。主动脉缩窄微创介入手术的成功开展,使部分先天性、复杂大血管疾病的治疗变得“简单化”,用更加安全、有效的手段为像小丽一样的患者带来新希望。
【记者】江玲
【通讯员】黄睿 刘文琴 林永青