当下,越来越多人开始“卷”健身,期待自己能练出“穿衣显瘦,脱衣有肉”的好身材。上班族小阳(化名)正是一名健身达人,可近半年他时不时感到腰痛,直至腿痛如电击样无法安睡,一查竟是腰椎间盘突出。近日,他在医院顺利接受椎间孔镜下髓核摘除术,切口不到1厘米,告别了难言的疼痛。
“腰突”腿麻彻夜难眠
“医生,我已经一个礼拜没睡好觉了,吃安眠药也没用,该怎么办啊?”初次来到广州医科大学附属第三医院脊柱外科门诊时,36岁上班族小阳(化名)顶着大大的黑眼圈,神情疲惫。
据小阳描述,他已坚持健身多年,从一开始由教练带着练的“小白”到现在已经能卧推100kg的健身达人,身材健硕的他常被朋友夸赞有“少年感”。卧推、硬拉、深蹲对小阳来说已是家常便饭,他还很喜欢挑战自己,不断上难度。可最近半年,小阳渐渐出现腰痛的情况,时好时坏,但他仍继续坚持健身。
直到最近,小阳开始出现右侧腿痛的情况,尤其是躺下来后,腿就像被电击一样刺痛,每晚无法入睡,吃安眠药、止痛药都没有效果,只能整夜地起来溜达放松腿部,再躺下去眯一下。每晚的“仰卧起坐”让小阳非常痛苦,扛了一周实在扛不住后,他来到医院就医。
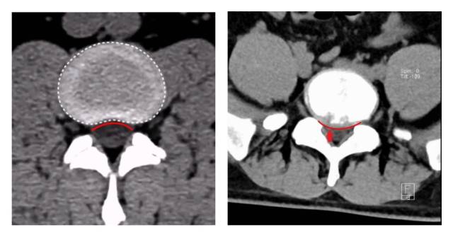
广医三院脊柱外科副主任医师王簕为小阳做了详细的检查,经CT、MRI检查后发现,小阳的腰5/骶1椎间盘膨出并偏右后方突出,右侧侧隐窝变窄,右侧神经根受压。

图左:正常腰间盘CT,椎体的后缘弧形向上。图右:小阳的腰间盘CT,椎体的后缘弧形向下,腰5/骶1椎间盘膨出并偏右后方突出。 受访者供图
由于小阳的腰椎间盘突出已经严重影响到日常生活,考虑到病情较重,而患者迫切希望解除症状,王簕为其实施了椎间孔镜下髓核摘除术。该手术为微创手术,仅有不到1cm的小切口,创伤较小。术后第二天,小阳即可下床活动,一周后康复出院。
不良姿势负重“伤腰”
为何健身会致“腰突”呢?王簕指出,主要是动作不当伤腰。人体腰椎间盘在脊柱的负荷和运动中承受了较大的压力。搬重物是发生椎间盘突出的常见原因,体力劳动者、长期进行体育锻炼的人是腰椎间盘突出症的高危人群。因此,运动时应注意强度和方式,不要为了挑战自己盲目“上强度”。已患有腰椎间盘突出的患者运动时更应量力而行,出现腰痛症状要及时调整运动方式。
除了搬重物外,以下运动也不适合腰椎间盘突出的患者:爬山、快跑等弓背向前倾的姿势会导致椎间盘受力明显增加;高尔夫、网球等需要扭腰挥杆、挥拍的运动会扭转和挤压椎间盘;一些过度牵拉和拉伸的瑜伽姿势也可能会造成症状的反复和加重。
在众多的体育运动项目中,蛙泳是较为适合腰椎间盘突出症患者的运动。蛙泳的时候,在浮力作用下,人体可以处于“半漂浮”状态,脊柱处在规律的伸展位,对腰部的负担较小,能充分锻炼肩背部的肌肉。
有些人可能会问,是不是“不动”就不会“腰突”了?当然不是!由于久坐会使腰椎间盘处于高张力状态,长期坐办公室和开车的人也比较容易发生腰椎间盘突出。专家提醒,科学运动,因人制宜。
多数首选保守治疗
王簕介绍,腰椎间盘突出症是一种比较常见的腰椎疾患。随着年龄增长,腰椎间盘结构会出现不同程度退变,在外力作用下,椎间盘纤维环破裂,髓核组织就可能从破裂处突出,压迫相邻的脊神经根,产生腰部疼痛、下肢麻木疼痛的症状,严重者可大小便失控甚至双下肢不完全性瘫痪。
大多数腰椎间盘突出症患者可首选保守治疗,即通过消炎、减轻水肿、营养神经、改善血运的药物以及中医针灸、理疗按摩、牵引等物理方式进行康复治疗,但不一定能将退变突出的椎间盘组织复位,而是通过减少对消除神经根的炎症,放松肌肉,从而缓解症状。
当腰椎间盘突出症患者出现以下情况时,可考虑手术治疗:①合并马尾综合征。突出的髓核或脱垂、游离椎间盘组织压迫马尾神经,主要表现为大、小便障碍,会阴和肛周感觉异常;②出现单根神经麻痹,伴有肌肉萎缩,下肢肌力下降;③规范保守治疗4-6周,但治疗无效或效果差,疼痛较重者;④处于强迫体位者,疼痛剧烈,难以行动和入眠。
【记者】江玲
【通讯员】张迅恺