31岁的李先生(化名)在一次体检无意发现右侧肾上腺肿块,病理检查确认为肾上腺皮质癌,接诊医生顺藤摸瓜,发现他长期患有肾上腺皮质增生症,而这与诱发癌变有关。
专家提醒,儿童期生长发育过早,男性性早熟,女性男性化应引起注意,发现肾上腺皮质增生症尽早干预。
肾上腺两种罕见病
李先生表示,他在一次体检中意外发现自己右侧肾上腺竟有一个直径约5cm的肿块,在当地医院随即进行手术切除,术后病理考虑是恶性肿瘤,这无疑给了他当头一棒。他不敢相信,自己没有任何不良习惯,为何会患上恶性肿瘤?
为寻求明确病因,李先生走进了南方医院垂体-肾上腺亚专科门诊,在垂体肾上腺多学科团队(内分泌科、病理科、泌尿外科、影像科、PET中心)的共同协作下,最终确诊为肾上腺皮质癌。医生告诉李先生,这个疾病非常罕见,发病率为0.5-2/100万人,目前没有转移和复发倾向,但需要终身随访观察。
在随后复查过程中,南方医院内分泌科医生发现,李先生对侧和术后残留的肾上腺组织在10天之内出现了明显增粗。这引起了团队成员的高度重视,因肾上腺皮质癌本身无法解释这一临床发现,结合李先生描述的性发育早且雄激素分泌旺盛等表现,考虑他可能同时患有肾上腺皮质增生症(CAH)的可能。

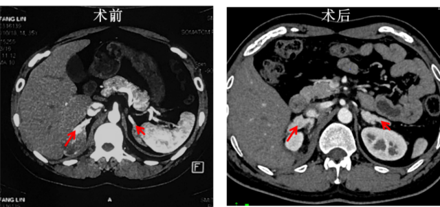
李先生术后残留的肾上腺组织出现明显增粗。 受访者供图
据李先生描述,他自小就发育比同学早,小学2-3年级时候身高快速增长,第二性征的发育也明显早于同班同学,成年后也明显感觉体毛生长很旺盛。李先生对此还有些骄傲,自诩“行走的荷尔蒙”,认为这是自己很“man”的表现。
为了进一步验证,检查发现李先生血液中促肾上腺皮质激素、17-α羟基孕酮、雄烯二酮的水平较正常人升高了几十倍,基因检测报告发现他同时合并了CYP21A2基因的3个杂合突变,证实他患有肾上腺皮质增生症,只是长期没有发现。
男性性早熟要警惕
据了解,肾上腺皮质增生症发病率极低,为1/10000-1/20000,是一种常染色体隐性遗传病。李先生竟同时患上了肾上腺皮质增生症和肾上腺皮质癌两种内分泌罕见病。
面对此例特殊病患,MDT多学科团队的慎重讨论和分析,最终确定李先生是在患有肾上腺皮质增生症的基础上,长期刺激肾上腺导致了肾上腺皮质癌的发生。
肾上腺皮质增生症患者肾上腺肿瘤的发生率增加,但多为良性肿瘤,有恶性病变或恶性倾向的报道罕见。推测李先生可能在肾上腺皮质增生症长期未治疗期间,促肾上腺皮质激素(ACTH)的长期释放增加刺激肾上腺增生及最终导致腺瘤样改变,而在疾病发生发展中其是否向恶性肿瘤转化,需要密切监测。
该院内分泌科主任张惠杰表示,肾上腺皮质增生症男性患者因临床表现不特异、症状不典型,更容易漏诊、误诊。如果出现儿童期提前生长加速、成年终身高矮小,男性性早熟,女性男性化(阴蒂肥大、多毛、痤疮)、多囊卵巢综合征、不孕、反复流产、月经周期异常等临床表现时,需要警惕肾上腺皮质增生症的可能,需尽早就诊内分泌科,早期识别肾上腺皮质增生症。
若在体检或因其他疾病就诊时发现肾上腺肿瘤,应尽快进行激素分泌功能评估和良恶性评估。若瘤体最大径在4cm以上,并出现体重增加、高血压、糖尿病和骨质疏松等临床表现时,应及时就诊内分泌科,通过药物、手术等尽早治疗,控制病情进展。
【记者】江玲
【通讯员】屈理慧 李晓姗