肚子突然变大了?排除怀孕的可能性不少人的第一反应是“发福”了,但果真如此吗?日前,52岁的张姨就渐渐发现自己的肚子日渐圆润,在尝试减肥后毫无效果,反而出现腹痛的情况。张姨不敢怠慢,前往暨南大学附属第一医院检查,竟然查出一个超大的肿瘤占据她半个腹腔。该院胃肠外科联合麻醉科、妇科、泌尿外科等多科协作,最终完整切除肿瘤。术后病理显示这个直径16厘米的巨大的肿瘤是恶性度极高的脂肪肉瘤。

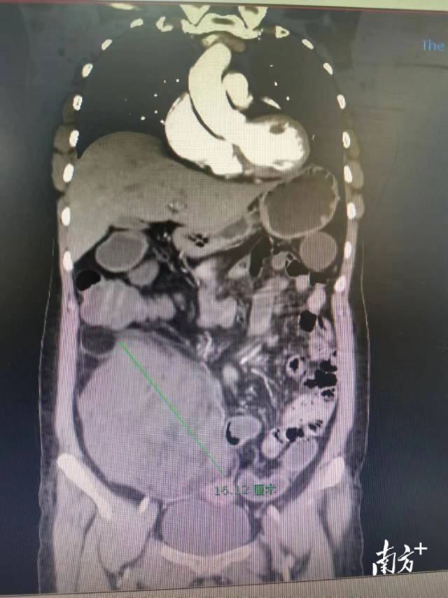
检查显示肿瘤的位置。
腹大如鼓肿瘤作祟
近半年来,52岁的张姨渐渐发现自己的肚子日渐圆润。一开始以为自己是人们常说的“中年发福”,张姨并没当回事,认为只要“管住嘴,迈开腿”就会慢慢“瘦回去”,但在尝试严格控制饮食,并且坚持散步、跳广场舞等运动了几个月后,张姨发现,这肚子上的“脂肪”不仅没消失,反而长得越来越不均匀,右下腹的“脂肪”越来越大,还伴随着一阵阵的下腹胀痛。
张姨再也不敢怠慢,前往暨南大学附属第一医院找到了胃肠外科杨景哥主任医师诊治。在经过了详细的检查后,杨景哥指出,让张姨肚子慢慢长大的并不是“脂肪”,而是一个皮球大小的腹膜后肿瘤!而且肿瘤直径长达16cm,短短半年时间,肿瘤快速增大进展,巨大的肿瘤几乎占据了张姨半个腹腔,并且对周围邻近的脏器产生了明显的压迫。
如若不能及时阻止肿瘤的继续生长,终有一日,张姨的整个腹腔都会成为肿瘤的天下。听到自己罹患肿瘤的消息,张姨瞬间万念俱灰,担心自己时日不多,十分担心自己会成为家里的“拖油瓶”,甚至最后还落得人财两空,一度想放弃进一步诊治。
杨景哥团队在全面、客观地了解张姨的病情与身体状况后表示,张姨腹腔内的巨大肿瘤仍有手术根治切除机会!医生专业细致的讲解无疑为张姨打了一针强心剂,意识到自己所患疾病并非不治之症,最终张姨在家人陪同下办理了入院手续。
多科协作完整切瘤
考虑到肿瘤巨大,对周围的肠管、肾脏及子宫附件等产生了粘连压迫,且腹膜后结构极其复杂,血管神经丰富,手术难度大,手术风险高,为了保证手术的安全性和肿瘤的完整切除,杨景哥团队联合了暨南大学附属第一医院麻醉科、妇科、泌尿外科等多个学科为张姨进行了手术前的详细评估和精密的手术方案探讨与制定。
手术团队认为,张姨的肿瘤范围较大,位于腹膜后由右肾水平延伸至盆腔,包膜完整,采用腹腔镜微创手术优势较大。通过肚子上小小的几个孔,以最小的创伤,可以兼顾上下腹操作。
手术中,显露在腹腔镜显示屏上的巨大肿瘤还是考验了手术医生:巨大的肿瘤与右侧肾脏输尿管、髂血管、神经和肠管等组织紧密粘连;肿瘤完全“侵吞”右侧卵巢和输卵管。经过3小时的鏖战,杨景哥手术团队对肿瘤进行了精准的解剖,完整保护肾脏输尿管,游离肿瘤周围大血管,清扫相应范围的淋巴结,保持肿瘤包膜完整,最后,连同被侵犯的卵巢输卵管,完整切除肿瘤,手术顺利完成。术后病理也证实,张姨腹腔内这个巨大的肿瘤也是恶性度极高的脂肪肉瘤。
定期体检早诊早治
杨景哥强调,很多腹部肿块在早期均是没有症状的,随着肿块的长大与进展,开始出现体表包块、腹痛、腹胀等症状。像张姨这种腹膜后的肿瘤,在早期由于其位置深,通常情况下并无明显的症状体征,而当张姨感觉搭配腹胀腹痛,摸到腹部包块时,肿物往往已经巨大,此时手术的风险也相应增加。
杨景哥医生提醒大家,定期的体检对于早期发现,早期诊治尤为重要,若发现腹部不适等症状应及时到医院就诊。
【记者】朱斌
【通讯员】向林 乔钰涵 张灿城