8年经历6次腹盆腔手术,体表有4个出口持续性排出消化液和粪渣,这让44岁的董先生十分痛苦,寸步难行。近日,他辗转到中山大学附属第六医院放射性肠病专科就医,经手术联合营养治疗,关闭了复杂性肠瘘,终于恢复正常进食和排泄。
手术切除病损肠管
董先生来自江西,8年前因乙状结肠癌接受了肠癌根治性手术和放疗,术后第4年因肿瘤局部复发且侵犯膀胱,又接受了盆腔放射治疗及多程化疗、靶向治疗。
2020年,董先生又因盆腔放射性损伤出现反复肠梗阻,难以进食,体重进行性下降,接受了保留肛门的全盆器官联合切除手术(TPE手术),腹壁尿、粪双造口,完整切除了肿瘤,术后一年关闭回肠造口,恢复经肛门排便。
然而,董先生1个月后再次出现肠梗阻,不得不进行数次开腹手术。2022年9月出现腹壁肠皮瘘,无奈之下接受了横结肠造口及盆腔病变回肠旷置手术。

受访者供图
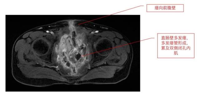
因病情复杂、病程长,有六次盆腔手术史及放射治疗史,董先生出现了直肠吻合口-盆腔小肠-尿道残端-腹壁-阴茎复杂瘘。腹部疼痛和瘙痒、反复感染发热、进食困难等问题困扰着他,更让他痛苦的是,他的体表4个出口持续性排出消化液和粪渣,日常护理非常困难。巨大的身心负担令他近乎抑郁,畏惧进食,出现重度营养不良。
经病友介绍,董先生慕名前往中山六院放射性肠病专科门诊就诊。结直肠外科三区、临床营养与微生态科副主任马腾辉接诊后,将其收入院,并联合胃肠、影像、泌尿、康复医学科等多学科进行全面病情评估,对患者开展造口护理、围手术期营养治疗,规划全周期治疗进行“多模式预康复”。
经充分术前准备后,马腾辉团队为董先生进行了剖腹探查手术,术中探查发现盆腔肠管多发粘连,伴回肠-结肠-皮肤-阴茎-盆腔-代直肠吻合口瘘并多发瘘管。手术完整切除了盆腔放射性损伤严重的病变小肠、病变代直肠吻合口,并清除盆腔脓肿。随后将直肠远端封闭,自体大网膜内移植填塞于盆腔间隙,进行全盆底重建修复,在为患者解除病痛的同时,尽量减少再次复发的风险。手术历时5个小时,出血仅约300ml。

手术治疗复杂性肠瘘。 受访者供图
营养治疗贯穿围术期
据文献报道,“空盆腔脏器综合征(EPS)”伴多发盆腔复杂肠瘘是全盆腔器官联合切除(TPE)术后的严重并发症,发生率可高达40%-50%,主要表现为反复肠梗阻、肠瘘、盆腔感染及脓肿形成、慢性疼痛等一系列症状。
马腾辉表示,盆腔手术后接受放射治疗容易继发盆腔粘连小肠及原直肠吻合口的慢性进行性放射性损伤。直肠癌术后吻合口漏发生率在2.4%-15.9%,而经过术前或术后放疗的患者,直肠吻合口漏发生率可高达27.4%,因术后导致盆腔小肠粘连至盆腔后再行术后放疗的患者,其远期继发慢性肠梗阻、肠瘘的风险更高。
针对董先生的情况,围手术期的积极营养治疗是手术后顺利康复的“基石”。肠瘘时患者大量营养物质可随消化液丢失,特别是消化液中蛋白质慢性丢失,是导致机体营养不良的主要原因。加之患者因感染和反复手术创伤处于应激状态,消耗增加,加速了营养不良出现,很容易出现恶病质。营养治疗可改善患者的营养状况,促进瘘口愈合,降低并发症和死亡风险。对于术前的患者,营养治疗还可以增加其对手术的耐受性,缩短住院时间,促进康复。
针对董先生的情况,马腾辉组织营养团队予其制定了术前营养治疗计划。由于董先生全身瘘口较多,肠瘘情况较复杂,加之胃口较差,团队决定采用肠外营养与肠内营养相结合的方案,以肠外营养为主,肠内营养为辅。肠内营养选择容易消化吸收的短肽类制剂口服,并根据董先生的情况随时调整用法和用量。到手术前董先生的体重已经增加到98斤,BMI约20.4kg/m2,经评估可以较好地耐受手术。
手术后,在医护人员的精细治疗和加速康复外科理念(ERAS)指导下,董先生早期便下床活动并逐步恢复经口进食。营养团队根据术后情况定制了过渡期的饮食方案,指导他从流质逐渐过渡到普通饮食。术后第11天董先生顺利出院,目前已可正常饮食,肠瘘愈合,腹壁尿、粪双造口排泄功能正常。
“今天的我心情和入院当天的心情一样激动。入院时激动是因为终于有医生肯接收我,出院时更激动,因为能够正常吃饭了,腹部少了几个瘘口、几个粪袋,还胖了20多斤!”出院当天,董先生兴奋地对马腾辉治疗团队感谢道。
【记者】江玲
【通讯员】张婷婷 戴希安 简文杨