距离第二次心脏换瓣手术仅过去3年,66岁的陈女士又出现了胸闷、气促等不适。熟悉的感觉让她意识到心脏又出问题了,而这次的检查显示,她有两扇“心门”均开合受阻,导致心脏血流不畅。
近日,广东省人民医院心外科郭惠明团队在华南地区首次采用“Y型切口”(“Y-incision”技术)主动脉瓣环根部扩大和“衬裙二尖瓣置换”技术,为陈女士行主动脉瓣、二尖瓣置换。据了解,该技术不仅大幅减少了创伤,远期效果也更好,能够有效减少患者因瓣膜不匹配多次手术的风险。

从左至右分别为:Y型切口的示意图;手术中Y型切口及缝合补片扩大瓣环;手术切下来的组织及机械瓣。 受访者供图
两扇连接的“心门”受阻
2007年,陈女士反复出现活动后胸闷、气促,查出风湿性心脏病,接受了主动脉瓣置换术。2020年,因人工机械瓣问题,她再次手术换瓣。
半年前,熟悉的不适感再次袭来,陈女士到医院一查,发现主动脉瓣人工机械瓣梗阻。主动脉瓣是心脏向外供血的唯一通道,“心门”不通无疑是致命的危险。
然而,陈女士已经做过两次正中开胸的心脏大手术,辗转了好几家大医院,都被告知手术风险极大,即使再次行主动脉瓣置换,日后瓣膜也很可能再出问题。病情紧急,陈女士最终慕名找到广东省人民医院心外科郭惠明主任团队。
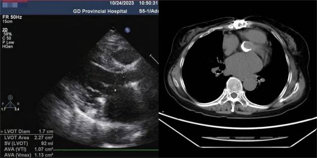
有感于陈女士求医的决心和充分的信任,治疗团队迎难而上,为其进行了详细的检查和手术策略评估。经食管超声心动图提示,患者主动脉瓣外侧瓣叶根部见强回声团,致瓣叶开放受限。CT图像可见主动脉瓣明显梗阻,二尖瓣钙化、腹腔干起始处重度钙化。

超声心动图、CT显示双瓣膜病变。 受访者供图
情况比预想的还要严峻。陈女士的两扇“心门”都出了问题。
郭惠明主任分析,患者主动脉瓣机械瓣卡瓣的原因,首先考虑是血管翳阻碍了瓣膜的正常开合。血管翳即纤维组织过度增生,起源于机械瓣膜环周围心内膜组织,可包绕固定机械瓣导致瓣膜功能障碍。
因血管翳覆盖范围较广,想要在保留瓣膜的情况下完全清除血管翳难度较大,患者很可能要面临再次置换主动脉瓣。而且,其主动脉瓣瓣环和左室流出道内径仅有17mm(正常成人一般为22mm),以往手术置换的也是17号人工瓣膜,显然不够支撑正常的心脏血流,如果手术换瓣,就需要扩大主动脉瓣环和流出道,同期扩大二尖瓣瓣环。
目前,对于这种情况,大血管外科业界常采用Commando术(二尖瓣环、主动脉瓣环扩大联合二尖瓣、主动脉瓣置换)。该术式涉及两个紧密连接的瓣膜,简单理解,是将两个不同房间里共用同一承重墙的两道小门换成大门,意味着需要敲掉原来的“承重墙”,换上大门门框,再放进去两道大门。手术难度较大,带来的创伤也大。
巧妙施术双瓣环扩大
为更好地帮助陈女士解决问题,郭惠明主任认为,应该将两个瓣膜分开处理,通过一种新的手术方式完成双瓣环扩大,尽量减少对心脏结构的影响,同时兼顾远期疗效。
经过充分的术前准备,11月27日,郭惠明团队为陈女士实施主动脉瓣机械瓣置换术和二尖瓣机械瓣置换术。由于患者既往多次心脏手术史,术中发现组织严重粘连,主动脉硬如石头。经小心游离心脏和主动脉,探查二尖瓣为风湿病变,采用“衬裙技术二尖瓣置换”,用人造血管将瓣膜支起来,撑开的“裙边”缝合于二尖瓣瓣环,这样就可以置入理想大小的瓣膜。
随后,切开升主动脉后取出原置换的人工瓣膜,切除血管翳和流出道的大量增生组织,在主动脉瓣环根部巧妙作Y型切口,利用人工血管补片,完成主动脉瓣环扩大,最后植入21号的新型人工瓣膜。
手术效果立竿见影,经食管超声心动图提示主动脉瓣、二尖瓣血液恢复正常。陈女士术后次日早上拔管,转出监护室,术后第6天拔除心包纵隔引流管,术后一周症状完全缓解出院。
Y型切口优势明显
据了解,血管翳和血栓形成是心脏机械瓣功能障碍的常见原因。血管翳的发生,和个人体质有关,也可能和瓣膜置换手术局部损伤刺激有关。此外,人工瓣膜小了,心脏血液流速受限,也可能是诱发原因。
以往,受限于技术,在行心脏瓣膜置换时,若患者的瓣环偏小,能够置换的瓣膜型号也会相应偏小,等同于心脏的大门变小了,大门能够通过的血液减少,压力增大,发生再次梗阻的可能性也会增大。
临床上,小主动脉瓣环的病人并不少见,该类患者行常规瓣膜置换手术容易发生瓣膜不匹配,术后跨瓣压差大,血流动力学不佳,影响重构左心室的恢复,且远期易出现心肌肥厚、血管翳形成,瓣膜功能障碍发生率增高。这也是部分患者反复因瓣膜问题多次手术换瓣的原因。
对于这类患者,需要扩大瓣环,才能换上合适的瓣膜。郭惠明主任表示,Y型切口根部扩大(“Y-incision”技术)可独立扩大主动脉瓣环,避免像单纯交界切开扩大不彻底或Commando术式需要切开幕帘,对于复杂的主动脉瓣瓣环扩大或双瓣环扩大,这种方式具有创伤更小、风险更小、恢复更快的优点。对于主动脉瓣瓣环较小的患者,可将主动脉瓣环扩大3-5个瓣膜型号,减小了患者瓣膜再次发生梗阻的风险。
值得一提的是,Y型切口扩大了瓣环和窦管交界,可以为患者置换更大型号的生物瓣,为日后介入换瓣创造条件。对于选择主动脉瓣生物瓣置换的患者,若生物瓣在数年后发生衰败,经导管“瓣中瓣”主动脉瓣置换(VIV-TAVI)技术可实现不拆瓣换瓣,避免二次开胸手术。
【记者】江玲
【通讯员】郝黎 张蓝溪 张诚斌