南方农村报讯 (通讯员张灿城)42岁张大姐是一位与系统性红斑狼疮抗争了十余年的患者。为控制病情,她长期服用大剂量激素。这把治疗自身免疫性疾病的“双刃剑”,在保住脏器功能的同时,也严重侵蚀了她的骨骼健康,导致了严重的并发症——双侧股骨头坏死。
起初,她只是偶尔感到髋部隐痛,并未在意。但随着时间推移,在药物影响下,股骨头的血供持续受损,骨质逐渐缺血、空洞、酥化,如同承重墙内部被蛀空。疼痛愈发剧烈,每走一步都像“生锈的门轴转动”,艰涩钻心,甚至伴随关节不稳。渐渐地,正常行走成了奢望,她只能跛行度日。
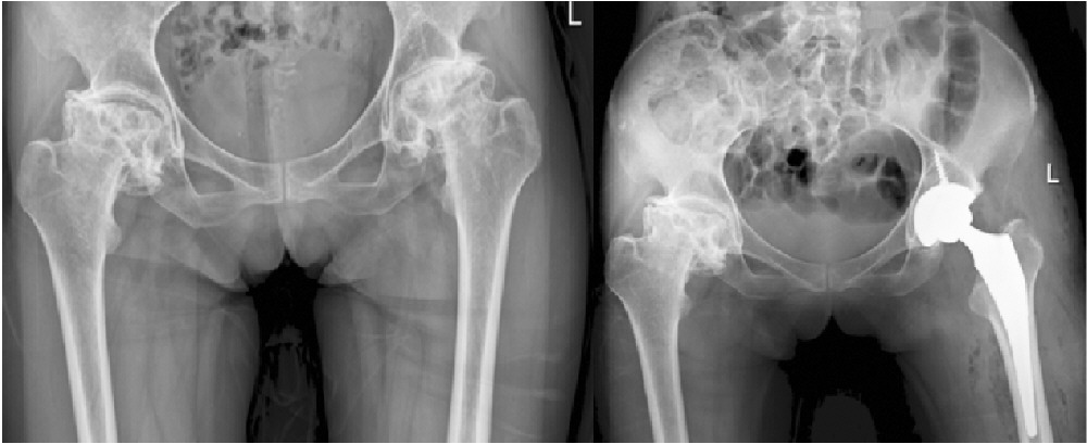
到医院检查时,结果令人揪心:张大姐的股骨头已完全塌陷,原本光滑的球状结构扭曲变形,关节间隙几乎消失。这彻底击碎了保守治疗的希望。在辗转多家医院、尝试各种方法无果后,几乎绝望的张大姐抱着最后一丝希望,找到了暨南大学附属第一医院的张还添教授。
张还添教授团队为她进行了全面评估,并用一个形象的比喻打消了她的顾虑:她的髋关节就像承重墙坍塌的房屋,保守治疗只是修补墙面,唯有进行全髋关节置换,更换全新的人工“轴承”,才能从根本上重建功能。
考虑到张大姐病情复杂、股骨头变形严重,团队决定采用机器人辅助手术。术前,机器人系统根据她的三维CT数据,精准规划了假体型号、植入位置与角度。术中,机械臂作为“超级助手”,精准完成了骨骼打磨与假体安放。医生术中发现,张大姐的股骨头已严重变形、色泽暗沉,形如干瘪的“旧式粽子”,病损程度远超预期。在机器人的辅助下,病变股骨头被顺利移除,适配的人工关节被稳妥植入,髋关节的力学结构与旋转中心得以完美重建。
手术效果立竿见影。麻醉苏醒后,困扰张大姐十余年的剧痛彻底消失。术后次日,她便在医护指导下借助助行器站立行走,平稳踏实的步态让她激动落泪。经过系统康复,她终于彻底摆脱了疼痛与跛行的困扰。
张还添教授提醒,长期服用激素的患者,骨骼损伤风险极高,务必将骨关节监测与原发病控制放在同等重要位置,定期检查髋、膝关节,做到早筛查、早诊断、早干预,避免股骨头坏死发展到塌陷致残的严重阶段。