南方农村报讯 (通讯员蒙彦伶)39岁的罗女士单侧鼻腔反复流清水20天,误以为普通鼻炎自行用药,症状时好时坏。到广东省第二人民医院耳鼻咽喉头颈外科就诊后,确诊为自发性脑脊液鼻漏。该科主任邓泽义团队通过经鼻内镜微创修补手术,精准封堵颅内漏口,患者顺利康复。
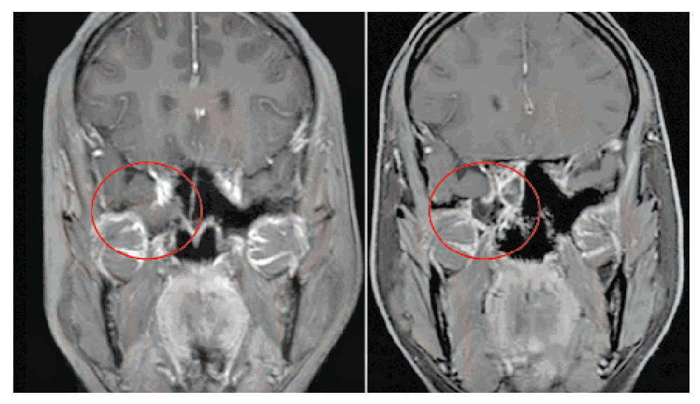
脑脊液鼻漏即“脑子里的水”漏进鼻子。颅底薄骨将大脑与鼻腔分隔,一旦骨质缺损,脑脊液便会流入鼻腔。罗女士症状典型:单侧流透明清亮液体,低头或用力时加重,液体微咸。CT和MR检查证实,其右侧蝶窦外侧壁骨质缺损,部分脑组织疝出并伴脑脊液渗漏。
脑脊液鼻漏危害远不止流涕:鼻腔细菌可逆行入颅引发脑膜炎、脑脓肿;脑脊液丢失过多致颅内低压,站立时剧烈头痛、恶心呕吐;还可能像罗女士这样出现脑膜脑膨出,挤压脑组织。更棘手的是,罗女士合并空泡蝶鞍和良性颅内高压,漏口位于蝶窦侧隐窝,毗邻颈内动脉,解剖间隙狭小,手术风险极高,属限制性手术。
邓泽义主任团队术前通过高分辨率CT、脑脊液生化、头颅MR+MRV等精准定位漏口,明确缺损范围及与周边结构关系,排除血管畸形。手术无需开颅,采用经鼻内镜微创入路,借助鼻腔自然通道直达颅底缺损,清理疝出组织,取自体脂肪、筋膜多层加固修补,全程避开重要血管神经。术后复查MR显示修复良好,罗女士“清鼻涕”消失,不适症状完全缓解,已康复出院。
专家提醒:出现单侧、反复、低头加重的“清鼻涕”,尤其有头部外伤史或颅内高压症状(如头痛、视力模糊),应及时就医排查。切勿长期自行使用鼻炎药物,尤其激素类鼻喷剂,以免掩盖病情。脑脊液鼻漏可防可治,微创手术成熟,早诊早治是关键。