年近八旬的区奶奶5年前查出腹腔长了一颗5厘米的肿瘤,当时她怀着侥幸心理,没有处置。如今,肿瘤暴涨至22厘米,已经压迫脏器危及生命。幸运的是,在暨南大学附属第一医院多学科团队的手术下,成功地切除了巨大肿瘤。

巨大肿瘤挤压脏器
5年前,区奶奶在一次体检中发现腹腔长了一颗5厘米肿瘤,当地医生建议转至上级医院就诊。区奶奶考虑自己年事已高,肿瘤“不痛不痒”,便怀着侥幸心理,心底暗自期盼肿瘤不要再长。然而,事与愿违,随着岁数的增长,肿瘤也在悄无声息的增长。
5年时间,肿瘤已长到占据整个右腹腔,从“不痛不痒”到凸起如“怀胎10月”,区奶奶的胃口也变差了,吃一点东西就“饱”了,已经无法再置之不理。
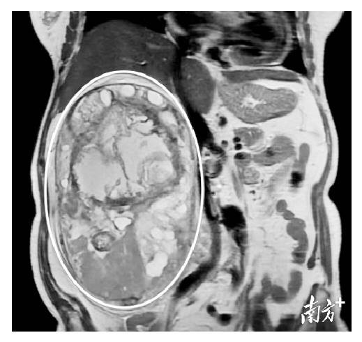
老人家这才下定决心到医院就诊,暨南大学附属第一医院肿瘤内科赵建夫主任接诊后,将她收住院做详细检查。检查结果显示,肿瘤囊实性,位于右侧腹膜后,长径22cm,与邻近腰大肌分界欠清,邻近脏器受压、移位,肝右叶6cm大囊肿。
多科合作摘除肿瘤
由于区奶奶年事已高,且合并高血压、冠心病、支气管炎、左下肢深静脉血栓等基础病,手术风险极大。区奶奶与家属在充分了解情况后同意放手一搏,患者本人坚定的手术意愿给了医生们信心。
肝胆外科李强副主任医师组织了麻醉科、泌尿外科、脊柱外科、输血科等多学科MDT讨论,制定了详细的方案:肝胆外科李强团队主刀肿瘤切除;肿瘤巨大且位于腹膜后,血供丰富,术中不除外大出血可能,输血科备血,麻醉科准备自体血回输。
在多学科的保驾护航下,李强医生手术团队成功为区奶奶实施腹膜后巨大肿瘤切除术+肝右叶大囊肿开窗术,术后病理示肿瘤性质为神经鞘瘤。
区奶奶术后恢复良好,术后一天恢复饮食,术后两天下地,术后1周多康复出院。卸下巨大“包袱”的区奶奶感觉身体轻松了很多,胃口也变好了。
李强表示,面对肿瘤有人谈之色变,有人置若罔闻,这属于两个极端。“有些肿瘤可以有效预防,早期发现更是有根治的机会,个别肿瘤也可以运用现有的医疗措施延长生命、减轻痛苦、提高生活质量。”
患者一旦确诊肿瘤,应及时到正规医院积极治疗,制定个体化治疗方案,即使考虑良性病变,也应按时随诊,避免恶变或肿瘤进展而使手术治疗难度及风险增大,甚至失去手术治疗机会。
【记者】朱斌
【通讯员】余伟 张灿城