“低头族”反复头痛怎么破? 超声介入神经阻滞30分钟见效_南方+_南方plus

和大多数IT同行一样,软件工程师林先生也有颈痛、头痛和失眠的烦恼,症状持续加重,发展到连口服止痛药都没有效果了。近日,他在中山大学孙逸仙纪念医院康复医学科被诊断为颈源性头痛,经超声介入第2颈神经后支阻滞治疗后效果立竿见影。

该院康复医学科伍少玲教授表示,超声介入神经阻滞可精确阻断与疼痛相关神经,对颈源性头痛患者具有明显疗效,但在急性疼痛缓解后,加强颈后肌群锻炼、保持良好的作息习惯也很关键。

反复头痛病在颈椎

林先生表示,他经常在电脑前面连续工作4-6小时,每周多次加班至深夜。由于长时间使用电脑和紧张的工作节奏,他频繁出现颈痛、头痛和失眠等症状,严重时要通过口服止痛药或到医院进行物理治疗才能缓解。

近日,半夜出差回到家里的林先生倒头就睡,一觉醒来发现左侧枕部、上颈部剧烈疼痛,转头困难,匆匆口服一片止痛药后又赶回单位上班,但坐下不到半小时,就因实在无法忍受的剧烈疼痛,不得不来到中山大学孙逸仙纪念医院康复医学科就医。

伍少玲教授为林先生查体后发现,他的左侧枕部有一个明显压痛点,按压时疼痛会向同侧后枕、头顶部放射,颈部肌肉紧张痉挛,结合其工作性质、反复慢性疼痛特点以及之前的颈椎正侧位X片,诊断为颈源性头痛。

超声介入快速镇痛

考虑到林先生此次头痛和颈痛发作疼痛剧烈,口服药物效果不明显,而患者要求快速缓解疼痛,在详细告知注射注意事项和风险后,伍少玲教授给予超声介入第2颈神经后支阻滞。

第2颈神经后支位于头下斜肌(箭头处)表面。  受访者供图

第2颈神经后支位于头下斜肌(箭头处)表面。  受访者供图

据介绍,导致林先生头痛的第2颈神经后支是颈神经后支中最大的一支,在寰椎后弓和枢椎椎板之间后行,在头下斜肌下方穿出,并发出肌支支配该肌。其与第1颈神经后支交通后,内侧支称枕大神经,支配耳后、枕部皮肤,甚至向上可达头顶的皮肤感觉。由于长时间低头/头部前倾工作,头下斜肌等枕下肌群容易劳损,局部肌肉和筋膜紧张、肿胀,发生无菌性炎症,使第2颈神经后支受压,产生枕部向颅顶部的放射性胀痛。

超声介入第2颈神经后支阻滞是在超声介入下在头下斜肌浅层注入镇痛液,可快速、有效减轻局部炎症反应,减轻对神经卡压,从而缓解疼痛。

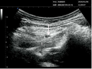
超声介入第2颈神经后支阻滞声像图。数字“1”为头下斜肌,白色箭头显示药液弥散。  受访者供图

超声介入第2颈神经后支阻滞声像图。数字“1”为头下斜肌,白色箭头显示药液弥散。  受访者供图

注射后约30分钟,林先生感觉疼痛缓解,伍少玲教授详细叮嘱他这段时间要注意休息,格外留意工作的姿势,每使用电脑1小时就适当地做颈部后伸活动,每天坚持2节颈部活动度和肌群抗阻练习等。

当天,林先生晚上安稳地睡了一觉,第二天便精神抖擞地上班了。一周后复诊时表示头痛没有再发作,坚持自我练习后,颈部不适明显改善。

颈肌训练减少复发

伍少玲教授介绍,随着智能手机及电脑的普及,像林先生这样的“低头族”很常见,颈源性头痛发生率也明显增高。这是由颈椎或颈部软组织的器质性或功能性病损引起的,以慢性、单侧头部疼痛为主要表现的综合征。多数观点认为,由于颈部长时间不良姿势,及日常活动频繁,容易出现颈部肌肉痉挛和/或韧带筋膜慢性劳损伴炎性刺激、颈椎小关节紊乱、颈椎间盘退变或突出等刺激或机械性卡压C1-C3神经根分支,从而出现颈源性头痛。数据显示,70%的颈源性头痛源自C2-3小关节病变。

保守治疗是颈源性头痛的首选治疗方式,主要包括口服药物(包括非甾体类抗炎药和肌松药)、物理因子治疗(低频电刺激、磁疗等)和手法治疗。对于保守治疗效果不明显的患者,明确诊断后可在超声介入下行颈神经后支阻滞治疗。

与口服药物相比,超声介入神经阻滞具有高度的选择性,可精确地阻断与疼痛相关神经,用最少的药量达到最佳治疗效果。当急性疼痛缓解后,加强颈部、特别是颈后肌群的抗阻自我练习,可增强颈肌肌力,保持颈椎稳定性,预防颈椎病,减少颈源性头痛发生或复发。

【记者江玲

【通讯员黄睿 刘文琴 林泽锋

版权声明:未经许可禁止以任何形式转载
编辑 江玲