65岁的李阿姨多年饱受肩关节疼痛的困扰,辗转求医三年,保守治疗无效,直至来到广东省第二人民医院(以下简称“省二医”),接受了关节镜微创手术后,终于跟肩痛说“拜拜”。
关节疼痛求医三年
李阿姨多年来持续右肩关节疼痛,运动后加重,休息时可以缓解,在肇庆、佛山等地辗转求医3年,保守治疗无效。近一年来,右肩关节疼痛明显加重,同时出现右肩关节假性瘫痪症状(不能主动上举),严重影响到日常生活与睡眠。

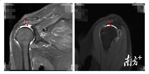
△术前MRI可见冈上肌完全断裂不可修复。
近期,李阿姨通过广东省第二人民医院官微了解到省二医关节骨科副主任医师何河北是运动医学方面专家,师从美国多位运动医学名师,尤其在肩关节微创手术方面造诣较深,于是慕名前来就诊。
何河北副主任医师给李阿姨进行了详细的关肩节查体和肩关节影像检查,诊断为“右肩不可修复巨大肩袖撕裂”。
“肩袖由四条肌腱组成,分别为肩胛下肌、冈上肌、冈下肌、小圆肌,李阿姨的冈上肌和肩胛下肌从骨面上撕裂,并出现冈上肌完全吸收萎缩。”他解释道。
基于李阿姨的具体情况,何河北副主任医师给她制定了个性化手术方案,为她进行肩关节镜下微创手术——肩关节镜下“不可修复巨大肩袖撕裂”上关节囊重建术。
5枚锚钉修补肩袖
何河北副主任医师介绍,肩关节镜下使用阔筋膜上关节囊重建修复巨大肩袖撕裂,是目前治疗“不可修复巨大肩袖撕裂”最为先进的方法,同时也是肩关节镜领域难度最高的手术。他率先在国内开展该项技术,使用患者大腿的阔筋膜作为肩袖的替代物,重建上关节囊,让肩关节功能濒临丧失的患者重新燃起了希望。

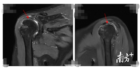
△图中箭头所示术后半年上关节囊重建后移植物位置良好。
手术中,何河北副主任医师使用患者大腿的阔筋膜,在关节镜下,只开4个微创小切口,在关节盂侧使用2枚带线锚钉,在肱骨头侧使用3枚带线锚钉,将阔筋膜按肩袖大小重建起来。
如此一来,李阿姨的肩关节疼痛在术后消失,肩关节假性瘫痪也消失了。目前,李阿姨已恢复了肩关节上举外展等功能,她十分感激地说:“谢谢何河北医生团队,让我有了重新运动的勇气。”
科普知识
肩袖是什么,巨大肩袖撕裂又是什么?
肩袖是肩关节(冈上肌、冈下肌、肩胛下肌、小圆肌)四条肌腱的统称,它们呈袖状包绕肱骨头。因为形似“袖口”,故称肩袖。肩袖位于肩峰和肱骨头之间,主要功能是帮助肩关节的运动和稳定作用,这是一组十分重要的结构。肩袖也是一种非常容易受到损伤和撕裂的肌腱组织。
由于肩袖组织老化退变、肩峰撞击、严重创伤、过度使用等情况下引起的肩袖撕裂,称为肩袖损伤。
巨大肩袖撕裂,是指涉及两条以及两条以上的肩关节韧带撕裂,或者肩袖撕裂宽度5cm以上。
什么是“不可修复巨大肩袖撕裂”?
不可修复巨大肩袖损伤,是由于慢性病程导致肩袖内脂肪浸润,肩袖萎缩导致巨大肩袖撕裂修复的失败率高达90%,通过关节镜下瘢痕松解肩袖组织质量较差,不能直接进行修复,术中无法修复巨大肩袖的缺损,静态下肱骨头上方半脱位导致肩峰下间隙小于6mm,不可修复巨大肩袖撕裂肩袖肌肉脂肪化严重,Goutallier3级或者4级。
为何对于“不可修复巨大肩袖撕裂”,需进行上关节囊重建手术?
不可修复的巨大肩袖撕裂导致肩关节疼痛、功能丧失、活动范围减小,对日常生活造成严重的干扰。
由于单纯修复不可修复巨大肩袖撕裂难以覆盖足印区,再破裂的频率高,术后临床效果不历尽理想,Mihata等首次提出自体组织进行上关节囊重建术(superiorcapsulereconstruction,SCR)治疗不可修复的巨大肩袖撕裂,从生物力学上看,上关节盂内侧和外侧大结节通过贴片移植重建上关节囊重建,可以使上关节平移恢复生理状态,它降低了肩峰接触压,产生了更好的肱骨平移,能逆转假性麻痹,同时减缓了肩关节骨性关节炎的进展。
【记者】朱斌
【通讯员】黄怡辛